Portfolio
Onderstaand vindt u de meest recente werken en projecten.
Casus 11 t/m 16 opgebakken porselein
Deze casus is een combinatie van kronen en bruggen. Wij hebben hier gekozen voor een combinatie van zirkonium met opgebakken porselein. Door deze combinatie kunnen wij een betrouwbaar en hoog esthetisch resultaat realiseren.
Front casus resultaat 11 t/m 22
Door een ongeluk waren bij deze patiënt de fronttanden afgebroken. Uiteindelijk is er voor gekozen om 3 tanden te vervangen voor kronen. Door een goede kleurbepaling met foto's kunnen wij de restdentitie goed bestuderen en zoveel mogelijk details laten terugkomen in de uiteindelijke opgebakken kronen. 11 t/m 22 losse kronen opgebakken porselein.
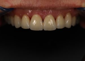
Facings 13 t/m 23
Deze patiënt wilde een zelfverzekerde glimlach. Samen met de tandarts is besloten om dunne, porseleinen facings te vervaardigen voor de patiënt. U ziet hier het resultaat kort na plaatsen, waarbij de gingiva nog moet herstellen. We hebben de situatie kunnen herstellen naar heldere, symmetrische tanden die naadloos past bij de restdentitie.



